Summary

Colonoscopic polypectomy is a common procedure for removing colonic polyps to prevent subsequent development of colon cancer. Hemorrhage is the most common complication following polypectomy, with a reported rate of 0.3% to 6.0%. The risk increases to 12.5% when the size of the polyp stalk exceeds 1 cm. The most commonly used endoscopic preventive techniques, such as injection therapy, prophylactic use of endoclip, or endoloop, were found to decrease the rate of post-polypectomy hemorrhage, and repeated use of these techniques is useful for controlling bleeding. Here, we reported a case of a 65-year-old man with refractory post-polypectomy hemorrhage for a 2-cm adenomatous polyp. Application of an endoloop using the tulip-bundle technique achieved successful hemostasis. To our knowledge, this is the first report of this technique being used to treat refractory acute post-polypectomy hemorrhage.

Keywords

Colonoscopy ; Complication ; Polypectomy ; Hemostasis

Introduction

Colonoscopic polypectomy is a common colonoscopic procedure for removing colonic polyps to prevent subsequent development of colon cancer. Hemorrhage is the most common complication following polypectomy, with a reported rate of 0.3% to 6.0% [1] . The risk of post-polypectomy hemorrhage is up to 12.5% higher when the size of the polyp stalk exceeds 1 cm [2]  ;  [3] . The most commonly used endoscopic preventive techniques, such as injection therapy with diluted epinephrine or prophylactic use of endoclip [2] ; [3] ; [4]  ;  [5] , were found to decrease the rate of post-polypectomy hemorrhage, and repeated use of these techniques is useful for controlling bleeding. Here, we reported a case of a 65-year-old man with immediate post-polypectomy hemorrhage for a 2-cm adenomatous polyp with a 1-cm-thick stalk, despite the use of prophylactic injection and clipping in another endoscopic clinic. Despite the use of several conventional techniques, including injection therapy and heat-probe coagulation, the bleeding persisted and the patient was transferred to our hospital. A repeated colonoscopy revealed spurting from the polypectomy wound and two prophylactically placed endoclips that remained in situ . Application of an endoloop using the tulip-bundle technique achieved successful hemostasis. To our knowledge, this is the first report of this technique being used to treat refractory acute post-polypectomy hemorrhage.

Case Report

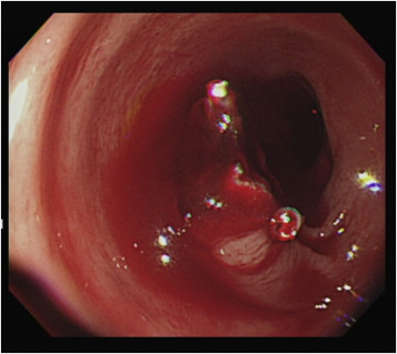
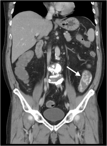
A 65-year-old man was referred to our emergency department for surgical intervention of refractory post-polypectomy hemorrhage. The patient had a medical history of hypertension, diabetes, and gout. He was not taking aspirin or other anticoagulant medication. According to the referral sheet, the polyp was 2 cm in diameter with a thick stalk in the descending colon. The referring physician had administered a prophylactic injection of diluted epinephrine into the polyp base, with two prophylactic endoclips placed before the procedure. Massive bleeding developed immediately after the procedure, and the referring physician attempted hemostasis with further injection therapy and heat-probe coagulation; however, it was not successful. The patient went into shock and was transferred to our hospital 2 h after the procedure. At the emergency department, the patient was pale and hypotensive, with a systolic blood pressure of 84 mmHg with tachycardia (heart rate: 110 beats/min). Blood test revealed a drop in hemoglobin from 14.2 g/dL to 8.9 g/dL and a normal coagulation profile. An emergent abdominal computed tomography (CT) scan revealed active contrast extravasation in the descending colon (Figure 1 , arrow), and a proctology surgeon was consulted for surgical intervention. After discussion with the patient, the patient requested a second attempt at colonoscopy to control his bleeding, and an emergent colonoscopy was performed. A large amount of fresh bloody content was found between the rectum and the descending colon. After copious irrigation with water and positional change, the bleeder source was identified (Figure 2 ).


Abdominal computed tomography span revealed active contrast extravasation from ...


Figure 1.

Abdominal computed tomography span revealed active contrast extravasation from the descending colon (arrow).


Endoscopic finding of active bleeding from a polypectomy wound. Two endoclips ...


Figure 2.

Endoscopic finding of active bleeding from a polypectomy wound. Two endoclips remained in place.

The two endoclips remained in situ , and active bleeding was observed in the narrow gap between the two endoclips. This finding explained the ineffective clipping and the difficult endoscopic approach to the bleeder source. An attempt with a heat probe, coagulation forceps, and further clipping all failed to approach the bleeder. We further attempted to administer an injection of diluted epinephrine in the base of the stalk remnant, and the remnant slowly began rising, giving the appearance of a new polyp. An endoloop was successfully placed beneath the two previously placed endoclips using the tulip-bundle technique, and the bleeding was successfully controlled ( Figure 3 ). The patient was discharged 3 days later without further bleeding.


Endoscopic view after injection and application of an endoloop using the ...


Figure 3.

Endoscopic view after injection and application of an endoloop using the tulip-bundle technique for successful hemostasis.

Discussion

Post-polypectomy hemorrhage is a well-known complication of colonic polypectomy, with a reported incidence ranging from 0.6% to 8.6% [1]  ;  [6] . The bleeding can be further divided into immediate or delayed [7] . The risk of bleeding is higher in patients who have a sessile polyp larger than 1 cm or a pedunculated polyp with a thick stalk [7]  ;  [8] . Acute post-polypectomy hemorrhage is often stopped immediately and is amenable to endoscopic hemostasis. The use of a mechanical method with endoclips is a preferred treatment modality to avoid the risk of perforation following thermal coagulation [9] .

Endoscopic measures, such as injection therapy with diluted epinephrine [3] , prophylactic clipping [4] ; [5] ; [10]  ;  [11] , endoloop, or a combination of these techniques [3] ; [5] ; [7]  ;  [12] , were advocated as preventive methods to treat such high-risk polyps before polypectomy. Use of injection therapy or endoclips is technically easier [3] and has a shorter procedure time than the use of an endoloop. The endoloop is made of nylon and may slip off of the polyp during application or after the polypectomy when the polyp size is not large enough. However, if the polyp is large, application of the endoloop may become difficult [2]  ;  [8] . Therefore, combined use of injection therapy and endoclips [10]  ;  [11] is preferred as an easy and effective method in this situation.

However, in our patient, despite the use of the above-mentioned methods, hemostasis was unsuccessful, possibly due to the retraction of a blood vessel deeper into the colonic wall between the gaps of previously placed endoclips that hampered subsequent endoscopic intervention. With CT evidence of continued colonic bleeding, either surgical intervention or angiographic embolization with subsequent surgery should be considered as an alternative method. Although the use of hemospray has been reported as a rescue method in cases of spurting post-polypectomy hemorrhage [9] , this agent is not available in our country. As the patient decided to undergo the second attempt at endoscopic therapy, we still found it difficult to apply thermal coagulation for hemostasis. The use of an endoloop with endoclips, described as the tulip-bundle technique, is a rescue method for difficult Mallory–Weiss syndrome bleeding [13] , delayed post-polypectomy hemorrhage [7] , or colonic perforation. In this case, we found that although the previously placed endoclips were ineffective for the prevention of bleeding, they served as a useful anchoring point for the subsequent placement of the endoloop, which is difficult to place and usually slips off the stalk without the endoclips.

In conclusion, we described a challenging case of refractory post-polypectomy hemorrhage. The use of an endoloop with the pre-existing endoclips using the tulip-bundle technique should be considered as a rescue therapy before sending the patient for surgery.

Conflicts of interest

The authors have no conflicts of interest to disclose.

Acknowledgments

The authors receive medical research fund from Changhua Christian Hospital (104-CCH-IRP-008 ) for this manuscript.

References

  1. [1] J.A. Dominitz, G.M. Eisen, T.H. Baron, J.L. Goldstein, W.K. Hirota, B.C. Jacobson, et al.; Complications of colonoscopy; Gastrointest Endosc, 57 (2003), pp. 441–445
  2. [2] P. Katsinelos, J. Kountouras, G. Paroutoglou, A. Beltsis, G. Chatzimavroudis, C. Zavos, et al.; Endoloop-assisted polypectomy for large pedunculated colorectal polyps; Surg Endosc, 20 (2006), pp. 1257–1261
  3. [3] G. Kouklakis, A. Mpoumponaris, A. Gatopoulou, E. Efraimidou, K. Manolas, N. Lirantzopoulos; Endoscopic resection of large pedunculated colonic polyps and risk of postpolypectomy bleeding with adrenaline injection versus endoloop and hemoclip: a prospective, randomized study; Surg Endosc, 23 (2009), pp. 2732–2737
  4. [4] C. Luigiano, F. Ferrara, S. Ghersi, C. Fabbri, V. Cennamo, P. Landi, et al.; Endoclip-assisted resection of large pedunculated colorectal polyps: technical aspects and outcome; Dig Dis Sci, 55 (2010), pp. 1726–1731
  5. [5] Y. Park, T.J. Jeon, J.Y. Park, S.J. Park, J.H. Cheon, T.I. Kim, et al.; Comparison of clipping with and without epinephrine injection for the prevention of post-polypectomy bleeding in pedunculated colon polyps; J Gastroenterol Hepatol, 30 (2015), pp. 1499–1506
  6. [6] G.M. Eisen, J.A. Dominitz, D.O. Faigel, J.L. Goldstein, A.N. Kalloo, B.T. Petersen, et al.; An annotated algorithmic approach to acute lower gastrointestinal bleeding; Gastrointest Endosc, 53 (2001), pp. 859–863
  7. [7] K.C. Chou, H.H. Yen; Combined endoclip and endoloop treatment for delayed postpolypectomy hemorrhage; Gastrointest Endosc, 72 (2010), pp. 218–219
  8. [8] C.W. Yang, H.H. Yen; Novel use of combined dual knife and endoloop for resection of a large pedunculated colon polyp; Endoscopy, 43 (Suppl. 2) (2011), p. E192
  9. [9] H. Ivekovic, B. Bilic, P. Markos, N. Rustemovic, R. Ostojic, K. Monkemuller; Successful use of hemospray to control refractory post-polypectomy bleeding; Endoscopy, 47 (Suppl. 1) (2015), pp. E466–E467
  10. [10] E. Quintanilla, J.L. Castro, L.R. Rabago, I. Chico, A. Olivares, A. Ortega, et al.; Is the use of prophylactic hemoclips in the endoscopic resection of large pedunculated polyps useful? A prospective and randomized study; J Interv Gastroenterol, 2 (2012), pp. 99–104
  11. [11] S.J. Boo, J.S. Byeon, S.Y. Park, J.S. Rew, M. Lee da, S.J. Shin, et al.; Clipping for the prevention of immediate bleeding after polypectomy of pedunculated polyps: a pilot study; Clin Endosc, 45 (2012), pp. 84–88
  12. [12] L. Li, Z. Shen, F. Ji, L. Chen, G. Guo, C. Yu, et al.; Combined application of clip and endoloop for the prevention of postpolypectomy complications in large pedunculated colonic polyps: a better choice; Int J Colorectal Dis, 30 (2015), pp. 287–288
  13. [13] H. Ivekovic, B. Radulovic, S. Jankovic, P. Markos, N. Rustemovic; Combined use of clips and nylon snare (“tulip-bundle”) as a rescue endoscopic bleeding control in a Mallory–Weiss syndrome; Case Rep Gastrointest Med, 2014 (2014), p. 972765
Back to Top

Document information

Published on 15/05/17
Submitted on 15/05/17

Licence: Other

Document Score

0

Views 84
Recommendations 0

Share this document

claim authorship

Are you one of the authors of this document?