Summary

Background/Aims

Most benign gastric ulcers are healed through suppression of gastric acid by a proton pump inhibitor (PPI). Despite prolonged use of a PPI, some gastric ulcers still do not heal. The primary goal of this study is to investigate the relationship between the expression of connexin 32 (Cx32), a major gap junction protein expressed in the gastric mucosa, and the healing response of gastric ulcers.

Methods

Patients with endoscopically verified gastric ulcer were treated with a standard dose of PPI for 12 weeks. Histological studies were performed to exclude malignancy. In total, 10 patients having endoscopically verified gastric ulcers with delayed healing at the end of the PPI course were included in this study. The control group consisted of 11 patients with gastric ulcers that healed normally. The expression of Cx32 in the gastric mucosa of the ulcer margin was analyzed by immunoblotting.

Results

Patients with gastric ulcer showing delayed healing had significantly reduced Cx32 expression in the gastric mucosa compared with the patients in whom the ulcers healed normally (i.e., controls). Age, sex, presence of duodenal ulcers, location and size of gastric ulcer, ulcer staging, Helicobacter pylori infection, use of nonsteroidal anti-inflammatory drugs (NSAIDs) and aspirin, smoking, and alcohol consumption were similar in both the control and delayed healing groups. H. pylori infection, use of NSAIDs, smoking, and alcohol consumption all had no significant impacts on the expression of Cx32. Age and expression of Cx32 were not correlated.

Conclusion

Downregulation of Cx32 in the gastric mucosa of the ulcer margin may predict delayed healing in patients with gastric ulcer following acid-suppression therapy.

Keywords

Connexins ; Proton pump inhibitors ; Refractory stomach ulcer

Introduction

The pathogenesis of gastric ulcer involves the interplay between injuries, defense, and repair of the gastric mucosa, as it is constantly exposed to a harmful environment. The chronic nature of gastric ulcers has been described to be associated with the size of the ulcer [1] , smoking [2] , persistence of Helicobacter pylori infection [3] , continued use of nonsteroidal anti-inflammatory drugs (NSAIDs) [4] , and an impaired response to antisecretory agents [5] .

Suppressing acid secretion is the mainstay of treatment for a gastric ulcer [6] . During the period when histamine-2-receptor antagonists (H2RAs) were popular, gastric ulcers that did not healed well after treatment with a standard dose of H2RA for 12 weeks were termed “intractable” or “refractory ulcers” [7] . Proton pump inhibitors (PPIs) provide better healing effects and fewer relapses than H2RA in managing gastric ulcers [6]  ;  [8] . However, even after aggressive and prolonged treatment with PPI, not all gastric ulcers heal completely [5]  ;  [9] . Even after removing noxious environmental agents, poor healing of benign gastric ulcers can still be observed in certain circumstances [5]  ;  [10] . The pathogenesis of this delayed healing response is not well understood. Transforming growth factor-β (TGF-β) and its receptors were found to be strongly expressed in well-healed ulcers but they were downregulated in half of the refractory gastric ulcers. In the other half of the refractory gastric ulcers, TGF-β was still normally expressed in the mucosa [11] . Factors other than growth factors may play a role in the healing process of a gastric ulcer.

Gap junction intercellular communication is crucial in diverse cellular processes such as homeostasis, morphogenesis, cell differentiation, and growth regulation. Communication spreads through gap junctional channels constructed by a family of connexin proteins [12] . Connexins are associated with a wide range of biological functions from providing restitution following cell damage to maintaining the integrity of the gastric mucosa [13] . Gap junction proteins in the gastric mucosa have been associated with several pathological states of the stomach, including intestinal metaplasia and gastric carcinoma [14]  ;  [15] . A decrease in gap junctions has also been observed in the active stage of human gastric ulcers [16] .

Connexin 32 (Cx32) is among the major gap junction proteins expressed in the gastric mucosa. Few studies have examined the role of Cx32 in the healing process of gastric ulcers. It is decreased or absent during the active stage of the ulcers, but its reappearance is reported to be related to the healing of gastric ulcers [17]  ;  [18] . The role of gap junctions when gastric ulcers persist, however, remains unclear. The purpose of this study was to investigate the association of Cx32 expression between different healing responses of gastric ulcers. The expression level of Cx32 was compared between normally healed gastric ulcers and those with delayed healing.

Methods

Patients

From May 2007 to November 2008, patients with spontaneously developed gastric ulcers were recruited. The ulcers were documented by a standard procedure of upper gastrointestinal endoscopy. Patients were excluded if ulcers were related to malignancy, gastrinoma, Zollinger–Ellison syndrome, or opportunistic infection by microorganisms such as a virus or fungus, which was confirmed by standard histological procedures. Patients were treated with a standard-dose PPI (e.g., lansoprazole 30 mg daily, pantoprazole 40 mg daily, or rabeprazole 20 mg daily) for 12 weeks, and compliance was ensured. At the end of the treatment period, a repeat endoscopy was performed to evaluate the healing of the gastric ulcer. Patients with a gastric ulcer that did not heal after the 12-week treatment period were assigned to the delayed healing group, whereas patients with a gastric ulcer that healed completely were used as controls and assigned to the normal healing group. Patient histories were reviewed in detail for age, sex, concomitant use of NSAIDs including aspirin, and current smoking or alcohol consumption. The study protocol was approved by the Institutional Review Board of Mackay Memorial Hospital, Taipei, Taiwan. All patients provided written informed consent and agreed to be enrolled.

Endoscopic examination and histologic studies

An upper gastrointestinal endoscopic examination was performed, and the endoscopic findings were evaluated by experienced endoscopists. The location and size of gastric ulcers were recorded. The endoscopic staging of gastric ulcers was evaluated. Biopsies were taken from the mucosa of the ulcer margin using biopsy forceps at the first endoscopic examination in both study groups. The specimens subjected to histological analysis were fixed in 4% paraformaldehyde in 0.1M phosphate buffer. Tissues were then embedded in paraffin and sectioned. Histological sections were stained with hematoxylin and eosin. Detailed malignancy surveillance was performed carefully, and tissue sections were also subjected to modified Giemsa staining to detect the presence of H. pylori . Immunochemical analysis was then performed on paraffin-embedded sections. Specimens subjected to immunoblotting were frozen in liquid nitrogen.

Immunohistochemical analysis

After deparaffinization and hydrating slides with distilled water, antigen retrieval was performed by microwaving the slides with antigen unmasking solution (Vector Laboratories, Burlingame, CA, USA) for 10 minutes. Endogenous peroxidase activity was inactivated by treatment with 3% H2 O2 . The slides were blocked with 0.005 g/mL bovine serum albumin (BSA) for 15 minutes and Cx32 was detected with primary antibodies specific for this protein (1:50; Zymed, San Francisco, CA, USA). The slides were further incubated with biotin-conjugated secondary antibodies for 45 minutes, followed by a 30-minute incubation with horseradish peroxidase–streptavidin solution (Sigma-Aldrich, St. Louis, MO, USA). Immunoreactivity was visualized using peroxidase substrate solution (Vector Laboratories) according to the manufacturers instruction. All these procedures were conducted at room temperature. Sections were stained with hematoxylin as the counterstain.

Western blot analysis

Glyceraldehyde 3-phosphate dehydrogenase (GAPDH) has been described as a stably expressed gene in the gastric tissues, and in this study, it was used as an internal control to study the expression of Cx32. The samples obtained in the previous section were homogenized and lysed using a Bullet Blender (Next Advance) with SB-20 buffer [0.69 mol/L sodium dodecyl sulfate (SDS), 10mM EDTA, 100mM Tris–HCl, pH 6.8] as previously reported [19] . Protein concentrations were determined with a modified Lowry method DC (detergent compatible) protein assay kit (Bio-Rad Laboratories, Hercules, CA, USA). Approximately 30 μg of cell lysate from each sample was loaded into 10% SDS–polyacrylamide gels, electrophoresed, and transblotted onto polyvinylidene difluoride membranes (PerkinElmer, Zaventem, Belgium). The blots were blocked with 0.1 g/mL BSA for 1 hour and detected with primary antibodies specific for Cx32 (Zymed) at 1:500 dilutions. The blots were further incubated with alkaline phosphatase-conjugated secondary antibodies for 1 hour at room temperature. The blots were then stripped with a stripping buffer (69mM SDS, 100mM 2-mercaptoethanol, 93.75mM Tris–HCl, pH 6.8) at 56°C, and incubated with antibodies against GAPDH diluted at 1:20,000 (Chemicon, Temecula, CA, USA). Immunoreactivity was visualized using VisioGlo reagent (AMRESCO, Solon, OH, USA) according to the manufacturers instructions. The one-dimensional gel analysis of photodensity was performed using TotalLab software (Nonlinear Dynamics, Newcastle upon Tyne, UK). The expression of Cx32 was compared with that of GAPDH.

Statistical analysis

We compared the sex of the patient, location and staging of gastric ulcer, active use of NSAIDs, current smoking or alcohol consumption, and presence of H. pylori between the control and study groups using Fishers exact test. Age and the size of gastric ulcer were compared between the two groups using Wilcoxon rank sum test. Analysis of the relative expression of Cx32 between the normal and delayed healing groups was conducted with one-way analysis of variance. Correlations between age and the relative expression of Cx32 were evaluated using linear regression analysis. All statistical analyses described were performed using the IBM SPSS Statistics for Windows, version 20.0 (IBM, Armonk, NY, USA). Statistical significance was defined at a two-tailed p  < 0.05 in all analyses.

Results

Patient characteristics and features of the gastric ulcers

A total of 2076 upper gastrointestinal endoscopic examinations were performed during the study period, and 477 patients were diagnosed with gastric ulcers. A total of 18 patients had gastric ulcers that showed delayed healing. Of these, 10 agreed to participate in the study and were assigned to the delayed healing group. A corresponding group of patients (n  = 11) with a normal healing response of their gastric ulcers were included in the study as controls. Table 1 summarizes the patient characteristics and the endoscopic findings of the two groups. The age and sex distribution, location and size of gastric ulcers, endoscopic staging of ulcers, and presence of duodenal ulcers are similar between the normal and delayed healing groups (all p  > 0.2; Table 1 ).

Table 1. Patient demographics and endoscopic features of the gastric ulcers.
Variable Normal healing (N  = 11) Delayed healing (N  = 10) p
Age (y) 60.2 ± 16.7 66.9 ± 14.5 0.26
Female sex 3 (27.3) 3 (30) 1.00
Gastric ulcer
 Size (mm) 9.09 ± 5.15 9.10 ± 4.75 0.83
 Location Antrum 7 (63.6) 6 (60) 1.00
Angle 4 (36.4) 3 (30)
Body 0 (0) 1 (10)
 Staging A1 3 (27.3) 2 (20) 0.82
A2 4 (36.4) 2 (20)
H1 3 (27.3) 4 (40)
H2 1 (9.1) 2 (20)
Presence of DU 3 (27.3) 4 (40) 0.66

Data are presented as n (%) or mean ± standard deviation.

DU = duodenal ulcer.

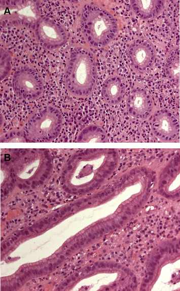
Submucosal tissue was virtually invisible in histological sections regardless of the group. The ratio of the gastric epithelium to the stroma in the gastric mucosa from either the controls or the ulcers with delayed healing was comparable (Fig. 1 ). Hemorrhages in tissue and crushing artifacts related to biopsy were limited.


Histological examination of specimens taken from the ulcer margin show a similar ...


Figure 1.

Histological examination of specimens taken from the ulcer margin show a similar morphology of the gastric mucosa in the (A) normal and (B) delayed healing groups. Hematoxylin and eosin stain, 200×.

Healing response and known factors associated with chronic gastric ulcers

Several proposed factors found to be relevant to chronic gastric ulcers in previous studies were compared between the two groups of patients (Table 2 ). H. pylori infection was detected in more than half of the patients in each group. No less than 20% of patients in each group had recent use of NSAID, including aspirin. Less than 50% of patients reported cigarette smoking and <25% of patients reported alcohol consumption in both groups. All the differences were not significantly different (all p  > 0.5).

Table 2. Association of healing response and known factors related to chronic gastric ulcers.
Factors Normal healing (N  = 11) Delayed healing (N  = 10) p
Helicobacter pylori infection 5 (54.5) 5 (50) 1.00
NSAID 3 (27.3) 2 (20) 1.00
Smoking 3 (27.3) 4 (40) 0.66
Alcohol 1 (9.1) 2 (20) 0.59

Data are presented as n (%).

NSAID = nonsteroidal anti-inflammatory drug.

Expression of Cx32 in the gastric mucosa

The expression level of Cx32 was calibrated using the level of GAPDH, and the results are presented in Table 3 . Sex did not influence Cx32 expression (male, 0.92 ± 0.251; female, 1.043 ± 0.499; p  = 0.46). Presence of duodenal ulcers, H. pylori infection, use of NSAIDs, cigarettes use, and alcohol consumption also did not have a statistically significant impact on the expression level of Cx32 in the gastric mucosa of the ulcer margin. By separating recent use of aspirin from NSAID use, it was found that two patients in the control group and none in the delayed healing group had used aspirin, but the difference between groups was not statistically significant (p  = 0.16). Moreover, by analyzing the patients without aspirin use, the relative expression of Cx32 had a wider margin between the normal and delayed healing groups (normal healing: Cx32/GAPDH, 1.143 ± 0.400; delayed healing: Cx32/GAPDH, 0.803 ± 0.192). The expression of Cx32 was not correlated with the age of the patients (p  = 0.79).

Table 3. Influence of factors on the relative expression of connexin 32 in the gastric mucosa.
Relative Cx32 expression (Cx32/GAPDH) − (no. of patients) p
Yes No
Gastric ulcer
 Delayed healing 0.803 ± 0.192 (10) 1.093 ± 0.376 (11) 0.04
 Size (>1 cm) 0.939 ± 0.245 (5) 0.960 ± 0.360 (16) 0.91
 Antral ulcer 0.925 ± 0.197 (13) 1.003 ± 0.492 (8) 0.61
 Active stage 0.936 ± 0.221 (11) 0.976 ± 0.433 (10) 0.79
Duodenal ulcer 0.920 ± 0.223 (7) 0.973 ± 0.380 (14) 0.74
Helicobacter pylori infection 1.006 ± 0.403 (10) 0.909 ± 0.259 (11) 0.52
NSAID 0.880 ± 0.142 (5) 0.979 ± 0.372 (16) 0.58
Smoking 1.001 ± 0.227 (7) 0.932 ± 0.378 (14) 0.67
Alcohol 0.949 ± 0.281 (3) 0.956 ± 0.346 (18) 0.97

Data are presented as mean ± standard deviation.

Cx32 = connexin 32; GAPDH = glyceraldehyde 3-phosphate dehydrogenase; NSAID = nonsteroidal anti-inflammatory drug.

Fig. 2 shows a comparison of Cx32 and GAPDH expressions between the normal and delayed healing groups. Cx32 expression was downregulated in the gastric mucosa near the poorly healed gastric ulcer. As a consequence, the relative expression level of Cx32 in the delayed healing group was significantly reduced (p  = 0.04, Fig. 2 B). The GAPDH levels were similar between the two groups. Immunohistochemical analysis of Cx32 revealed that Cx32 was mainly distributed in the gastric mucosa instead of stroma (Fig. 3 ). Higher expression of Cx32 was noted in the gastric mucosa of the normally healed gastric ulcer (Fig. 3 ).


(A) Comparison of the expression of connexin 32 (Cx32) between the gastric ...


Figure 2.

(A) Comparison of the expression of connexin 32 (Cx32) between the gastric mucosa in the normal and delayed healing groups using Western blotting. Note that GAPDH was used as an internal control. (B) Analysis of Cx32 expression in the gastric mucosa of the normal and delayed healing groups. The expression level is shown as a ratio of the Cx32 signal to the GAPDH signal. The length of boxes represents the interquartile range and the thick lines show medians. *p  < 0.05 compared with controls. GAPDH = glyceraldehyde 3-phosphate dehydrogenase.


Immunohistochemical analysis of connexin 32 in the gastric mucosa of the normal ...


Figure 3.

Immunohistochemical analysis of connexin 32 in the gastric mucosa of the normal and delayed healing groups. (A) 20×, normal healing; (B) 40×, normal healing; (C) 20×, delayed healing; and (D) 40×, delayed healing.

Discussion

In this study, we showed that in patients with gastric ulcer, at the end of standard-dose PPI treatment for 12 weeks, the expression of Cx32 in the gastric mucosa at the margin of persistent ulcers was reduced, although no significant differences were observed regarding the clinical demographics and known environmental factors associated with gastric ulcers between the normal and delayed healing groups. This novel finding helps to understand the healing of gastric ulcers.

The physiological role of Cx32 in the human stomach is still not fully understood. One of its potential functions is to facilitate the transfer of messages along the gland axis, leading to synchronized cellular activation and acid secretion [20] . In a rat model of acetic acid-induced gastric ulcers, compared with the untreated animals, Cx32 appeared earlier in the cimetidine-treated animals, in which the ulcers healed earlier [17] . Our finding in the present study that Cx32 is downregulated in the poorly healed ulcers is consistent with the results of the animal study mentioned earlier [17] . This finding suggested that Cx32 may play an important role in host factors determining the integrity of the gastric mucosa.

Malignant cells in gastric carcinoma show an absence of Cx32 expression [15] . The loss of intercellular communication is thought to signify lost capability to curbing early carcinogenesis [21] . The persistence of gastric ulcers usually raises concerns of neoplastic changes. Despite delayed healing responses, samples taken from the ulcer margin by biopsy in this study exhibited no histological evidence of malignant or dysplastic changes. Although by endoscopic observation the patients in the delayed healing group had incomplete reinstituted gastric epithelium on the ulcer at up to 1.5 years in the study period, there was no evidence of malignancy. It may be worth studying the effects of reduced expression of Cx32 in the development of gastric cancer from unhealed ulcers.

Water extracts of H. pylori , especially the cytotoxin-associated antigen A (CagA)-positive strain, are reported to delay the appearance of Cx32 during the healing of acetic acid-induced gastric ulcers in rats [22] . More recent evidence, however, has shown that H. pylori migrates to the intercellular space and disrupts tight junctions by introducing CagA into the gastric epithelium [23] . In our previous report, the disruption of intercellular tight junctions instead of gap junctions was associated with the persistence of the gastric ulcer and H. pylori infection [24] . Because the prevalence of H. pylori infection was similar between the groups in this study, the reduction in Cx32 expression is unlikely owing to the invasiveness of H. pylori .

The major limitation of our study was the small sample size and the case–control design. A previous study including 150 patients with acid peptic disease refractory to H2RA found that only three of 16 patients had persistent gastric ulcers after a 12-week treatment with a PPI [4] . The low prevalence of poorly healed gastric ulcers makes a large study population difficult. PPIs are potent inhibitors of gastric acid secretion, and such strong acid inhibition may overshadow the impact of exogenous environmental factors, making difference between the groups less evident for nondominant factors, especially in a small sample size. This may therefore explain that the exogenous factors previously reported to be associated with chronic gastric ulcers did not show a strong association to the healing response of gastric ulcers following PPI treatment.

Conclusion

Cx32 expression in the gastric mucosa was downregulated in gastric ulcers that showed delayed healing. Intercellular communication through Cx32 gap junctions may be a pivotal host factor in the healing of gastric ulcer. The downregulation of Cx32 in the gastric ulcers may be predictive of their refractoriness to standard acid-suppression therapies and may be of value for the development of auxiliary treatments for gastric ulcers.

Conflicts of interest

All authors declare no conflicts of interest.

Acknowledgments

We thank Tao-Yeuan Wang and Tung-Ying Chen of the Pathology Department of Mackay Memorial Hospital for their assistance in pathological analyses. This work was supported by a grant from the Mackay Memorial Hospital (Grant No. MMH-E-98003 ). The funding body has no impact on study design; the collection, analysis, and interpretation of data; in the writing of the manuscript; and in the decision to submit the manuscript for publication.

References

  1. [1] T. Nakajima; Studies on factors affecting healing of gastric ulcer. A prospective, cooperative study in Japan; Am J Gastroenterol, 66 (1976), pp. 150–154
  2. [2] D.M. McCarthy; Smoking and ulcers—time to quit; N Engl J Med, 311 (1984), pp. 726–728
  3. [3] J.-M. Liou, J.-T. Lin, Y.-C. Lee, C.-Y. Wu, M.-S. Wu; Helicobacter pylori infection in the elderly  ; Int J Gerontol, 2 (2008), pp. 145–153
  4. [4] A.I. Lanas, B. Remacha, F. Esteva, R. Sáinz; Risk factors associated with refractory peptic ulcers; Gastroenterology, 109 (1995), pp. 1124–1133
  5. [5] C.J. van Rensburg, J.A. Louw, A.H. Girdwood, A.E. Simjee, I.N. Marks; A trial of lansoprazole in refractory gastric ulcer; Aliment Pharmacol Ther, 10 (1996), pp. 381–386
  6. [6] A. Walan, J.P. Bader, M. Classen, C.B. Lamers, D.W. Piper, K. Rutgersson, et al.; Effect of omeprazole and ranitidine on ulcer healing and relapse rates in patients with benign gastric ulcer; N Engl J Med, 320 (1989), pp. 69–75
  7. [7] G.S. Raju, K.D. Bardhan, C. Royston, J. Beresford; The management of refractory gastric ulcer using H2-receptor antagonists; Aliment Pharmacol Ther, 10 (1996), pp. 387–396
  8. [8] S.C. Shih, C.W. Chang; Nonsteroidal anti-inflammatory drug-related gastrointestinal bleeding in the elderly; Int J Gerontol, 1 (2007), pp. 40–45
  9. [9] K.D. Bardhan, P. Cherian, A.E. Bishop, J.M. Polak, H. Romanska, M.J. Perry, et al.; Pantoprazole therapy in the long-term management of severe acid peptic disease: clinical efficacy, safety, serum gastrin, gastric histology, and endocrine cell studies; Am J Gastroenterol, 96 (2001), pp. 1767–1776
  10. [10] T. Arakawa, K. Higuchi, T. Fukuda, H. Nakamura, K. Kobayashi; H2-receptor antagonist-refractory ulcer: its pathophysiology and treatment; J Clin Gastroenterol, 13 (Suppl. 1) (1991), pp. S129–S133
  11. [11] S.C. Shih, K.W. Tseng, S.C. Lin, C.R. Kao, S.Y. Chou, H.Y. Wang, et al.; Expression patterns of transforming growth factor-beta and its receptors in gastric mucosa of patients with refractory gastric ulcer; World J Gastroenterol, 11 (2005), pp. 136–141
  12. [12] D. Goodenough, D.L. Paul; Beyond the gap: functions of unpaired connexon channels; Nat Rev Mol Cell Biol, 4 (2003), pp. 285–294
  13. [13] K. Endo, S. Watanabe, A. Nagahara, M. Hirose, N. Sato; Restoration of gap junctions in the regenerative process of ethanol-induced gastric mucosal injury; J Gastroenterol Hepatol, 10 (1995), pp. 589–594
  14. [14] T. Ohkusa, K. Fujiki, Y. Tamura, M. Yamamoto, T. Kyoi; Freeze-fracture and immunohistochemical studies of gap junctions in human gastric mucosa with special reference to their relationship to gastric ulcer and gastric carcinoma; Microsc Res Tech, 31 (1995), pp. 226–233
  15. [15] Y. Uchida, K. Matsuda, K. Sasahara, H. Kawabata, M. Nishioka; Immunohistochemistry of gap junctions in normal and diseased gastric mucosa of humans; Gastroenterology, 109 (1995), pp. 1492–1496
  16. [16] T. Ohkusa, M. Yamamoto, K. Kataoka, T. Kyoi, F. Ueda, H. Fujimoto, et al.; Electron microscopic study of intercellular junctions in human gastric mucosa with special reference to their relationship to gastric ulcer; Gut, 34 (1993), pp. 86–89
  17. [17] T. Mine, R. Kushima, T. Fujita; Relationship between healing of acetic acid-induced chronic gastric ulcer and connexin; J Clin Gastroenterol, 25 (Suppl. 1) (1997), pp. S111–S115
  18. [18] T. Mine, H. Yusuda, A. Kataoka, A. Tajima, J. Nagasawa, T. Takano; Human chronic gastric ulcer and connexin; J Clin Gastroenterol, 21 (Suppl. 1) (1995), pp. S104–S107
  19. [19] H.H. Wang, C.I. Kung, Y.Y. Tseng, Y.C. Lin, C.H. Chen, C.H. Tsai, et al.; Activation of endothelial cells to pathological status by down-regulation of connexin43; Cardiovasc Res, 79 (2008), pp. 509–518
  20. [20] L. Michon, R. Nlend Nlend, S. Bavamian, L. Bischoff, N. Boucard, D. Caille, et al.; Involvement of gap junctional communication in secretion; Biochim Biophys Acta, 1719 (2005), pp. 82–101
  21. [21] A. Nagahara, S. Watanabe, H. Miwa, K. Endo, M. Hirose, N. Sato; Reduction of gap junction protein connexin 32 in rat atrophic gastric mucosa as an early event in carcinogenesis; J Gastroenterol, 31 (1996), pp. 491–497
  22. [22] T. Mine, C. Endo, R. Kushima, W. Kushima, I. Kobayashi, H. Muraoka, et al.; The effects of water extracts of CagA-positive or CagA-negative Helicobacter pylori on proliferation, apoptosis and connexin formation in acetic acid-induced gastric ulcer of rats  ; Aliment Pharmacol Ther, 14 (2000), pp. 199–204
  23. [23] V. Necchi, M.E. Candusso, F. Tava, O. Luinetti, U. Ventura, R. Fiocca, et al.; Intracellular, intercellular, and stromal invasion of gastric mucosa, preneoplastic lesions, and cancer by Helicobacter pylori; Gastroenterology, 132 (2007), pp. 1009–1023
  24. [24] S.Y. Wang, C.L. Chieng, S.C. Shih; Intercellular invasion of Helicobacter pylori and delayed healing of a gastric ulcer  ; Am J Gastroenterol, 103 (2008), pp. 249–250
Back to Top

Document information

Published on 15/05/17
Submitted on 15/05/17

Licence: Other

Document Score

0

Views 23
Recommendations 0

Share this document

claim authorship

Are you one of the authors of this document?