Pulmonary hypertension is a pathological haemodynamic condition defined as an increase in mean pulmonary arterial pressure ≥ 25 mmHg at rest, assessed using gold standard investigation by right heart catheterisation. Pulmonary hypertension could be a complication of cardiac or pulmonary disease, or a primary disorder of small pulmonary arteries. Elevated pulmonary pressure (PAP) is associated with increased mortality, irrespective of the aetiology. The gold standard for diagnosis is invasive right heart catheterisation, but this has its own inherent risks. In the past 30 years, immense technological improvements in echocardiography have increased its sensitivity for quantifying pulmonary artery pressure (PAP) and it is now recognised as a safe and readily available alternative to right heart catheterisation. In the future, scores combining various echo techniques can approach the gold standard in terms of sensitivity and accuracy, thereby reducing the need for repeated invasive assessments in these patients.
Pulmonary hypertension by echo ; Pulmonary pressure by echocardiography ; Tricuspid Regurgitation Vmax ; Pulmonary acceleration time ; Pulmonary vascular resistance by echo
Pulmonary hypertension (PHT) is a pathological haemodynamic condition defined as an increase in mean pulmonary arterial pressure (mPAP) ≥ 25mmHg at rest, assessed using gold standard investigation by right heart catheterisation [1] . Pulmonary hypertension could be a complication of cardiac or pulmonary disease or a primary disorder of small pulmonary arteries. Transthoracic echocardiography (TTE) can be used to investigate and quantify pulmonary artery pressure (PAP). Elevated pulmonary pressure (PAP), measured by echocardiography, is associated with increased mortality, irrespective of the aetiology [2] . In addition, TTE can be used to assess the contribution of left ventricular systolic and diastolic dysfunction, valve function, and congenital lesions to the aetiology of PHT. Assessment can be challenging due to the complex pyramidal shape and retrosternal position of the right ventricle (RV) anatomy and load-dependent nature of the RV functional indices [3] and [4] . While TTE is not the gold standard, it is a readily available bedside technique accepted as the primary non-invasive tool in the assessment of PAP [5] . We present the common techniques currently in use, their advantages, disadvantages, and pitfalls in the echocardiographic measurement of pulmonary pressure.
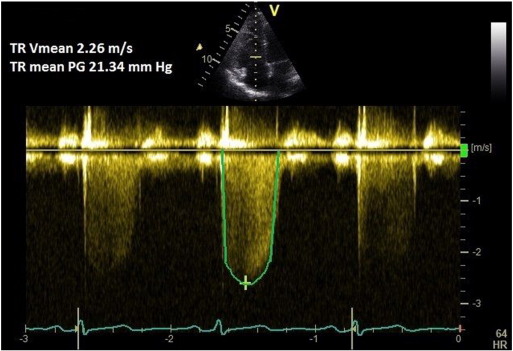
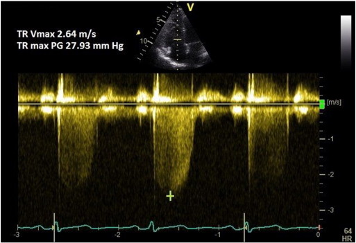
Continuous wave (CW) Doppler of the tricuspid regurgitation (TR) trace is used to measure the difference in pressures between the right ventricle and right atrium. The simplified Bernoulli equation (P = 4[TRmax]2 ) is used to calculate this pressure difference using peak TR velocity. This method correlates well with PASP on right heart catheterisation [6] and [7] . A peak TR velocity value of ≤ 2.8 m/s is considered normal.
A coaxial TR jet is identified in parasternal long axis (RV inflow), parasternal short axis, or apical 4-chamber view with the help of colour Doppler. CW Doppler is used with a sweep speed of 100 mm/s to achieve a satisfactory envelope (Fig. 1 ). The peak velocity of the envelope is then measured (TRmax ). A value of ≤ 2.8 m/s suggests low probability, a value of 2.9–3.4 m/s indicates intermediate probability, and a value > 3.4 m/s suggests a high probability for pulmonary hypertension [1] . Traditionally, right atrial pressure (RAP) is assumed by the size and distensibility of inferior vena cava (IVC) during inspiration at rest and during forced inhalation, and this value is added to the peak TR velocity [8] . However, recent ESC guidelines suggest just using the TRmax without additional RAP, as IVC assessment is error prone [1] . Mean PAP can be approximated from the systolic PAP (SPAP) using the following formula: mPAP = 0.61*SPAP + 2 mmHg [9] .
|
|
|
Fig. 1. TR Vmax method for measuring PASP. |
If there is marked sinus arrhythmia, the trace should be obtained at expiratory apnoea. If the patient is in atrial fibrillation, then 8 consecutive TR velocities are averaged to give the best estimate [7] . In case of pulmonary valve or right ventricular outflow tract (RVOT) stenosis, this method overestimates the PASP; then the peak pressure gradient across the valve or RVOT should be subtracted from the measured PASP.
A lesser degree of TR may occur in a compensated right ventricle (due to elevated ventricular pressure) and this could lead to underestimation of PASP. Similarly, severe TR could cause equalisation of right atrial and ventricular pressures which may cause the TR Doppler envelope to be cut short, leading to underestimation of PASP (Fig. 2 -C) [8] . RAP is often overestimated if IVC measurement is used, leading to overestimation of PASP [10] . Calculations using the TR trace assume that there is no pulmonary valve stenosis and may be inaccurate in the presence of RV systolic dysfunction. TR signal could be poor in a good proportion of patients with lung disease, and TRmax measurement should be avoided in the absence of a good Doppler envelope (Fig. 2 ) [11] .
|
|
|
Fig. 2. Pitfalls in TR peak measurement. A, B—Peak TR measurement with incomplete trace could lead to underestimation. C—Amputated jet could occur in severe TR that could lead to underestimation. |
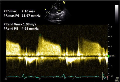
A pulmonary regurgitation (PR) signal is obtained in the parasternal short axis view using colour Doppler. CW Doppler at a sweep speed of 100 mm/s is used to measure the peak PR velocity (Fig. 3 ). Peak pressure difference (measured by the Bernoulli equation) is then added to the RAP. This method has been validated against gold standard catheter-measurements [13] and [14] . Mean PAP can be approximated from the peak PR Doppler signal using the following formula: mPAP = 4(PRpeak velocity)2 + RAP.
|
|
|
Fig. 3. Pulmonary regurgitation method for measuring mean and diastolic pulmonary artery pressure. |
The PR signal may be poor or parallel alignment of the Doppler signal may not be possible. In the presence of constrictive or restrictive RV physiology, PR Doppler signals could provide a valuable clue towards the diagnosis but may be unreliable in the calculation of pulmonary artery pressure [15] . In constrictive physiology, there is dissociation of intracardiac from intrathoracic pressure, resulting in early equalisation of PA and RV pressures with inspiration. This results in shorter and steeper PR signal [16] .
A PR signal is obtained as above. End PR velocity is measured in multiple (non-continuous) traces and averaged. Pulmonary artery diastolic pressure (PADP) is calculated from the following equation: 4(PR-end velocity)2 + RAP. Mean pulmonary artery pressure can be calculated from systolic (by TRmax method) and diastolic (by PR-end velocity method) pulmonary artery pressures:
|
In severe pulmonary regurgitation, due to a rapid deceleration slope, PR-end velocity may underestimate the pulmonary artery diastolic pressure [14] . As mentioned earlier, this technique may not be useful in the presence constrictive or restrictive physiology [15] and [16] .
Pulse wave of RVOT normally produces a dome shape, but in patients with pulmonary hypertension, there is rapid rise to peak, resulting in shorter acceleration time [17] . A mid-systolic notching could also indicate pulmonary hypertension [17] .
A pulse wave signal of pulmonic forward flow is obtained at end expiration, just proximal to the pulmonary valve in the parasternal short axis view. The Doppler sample is placed in such a way that the obtained signal has a closing snap but not an opening snap. The quality of the signal is very important and maximum sweep speed must be used to increase accuracy. Furthermore, there should not be spectral broadening.
Right ventricular outflow tract (RVOT) acceleration time is measured from the beginning of the flow to the peak flow velocity (Fig. 4 ). It is important that the marker is placed at the peak first and then tracked back to the onset of flow, as the aim is to measure time taken to peak velocity and not the propagation. A value of > 130 ms is normal, while < 100 ms is highly suggestive of pulmonary hypertension [18] . Mean pulmonary pressure is calculated by the formula: mPAP = 90 − (0.62*ATRVOT ). For example, if the ATRVOT is 80 ms, the mPAP = 90 −(0.62*80), that is 40.4 mmHg (normal < 25 mmHg). On the other hand, if the ATRVOT is 137 ms (as in Fig. 4 ), then the calculated mPAP is 90 −(0.62*137) = 5.06 mmHg.
|
|
|
Fig. 4. RVOT acceleration time method for assessing pulmonary pressure. A—Pulmonary acceleration time measurement. B—Rapid rise and mid-systolic notching suggesting elevated pulmonary pressure. |
Heart rates outside of the normal range (< 60 or > 100 bpm) may reduce the accuracy of this technique. However, when the mean PAP exceeds 25 mmHg, RVOT acceleration time is accurate even in tachycardia [19] and [20] . More often, the slope of the pulse wave Doppler trace is measured, rather than the time taken from onset to peak velocity. This usually leads to underestimation of the RVOT acceleration time.
In this fairly new technique, CW Doppler of the TR jet is traced and the mean pressure difference is measured from the velocity-time integral (VTI) (Fig. 5 ). RAP is then added to calculate the mPAP. Mean PAP measured by this method correlates closely with catheter-measured mPAP [22] . The mPAP from TR VTI can be calculated using the following formula: mPAP = meanΔP + RAP.
|
|
|
Fig. 5. Tricuspid regurgitation velocity-time integral method for measuring mPAP. |
A complete TR envelope may not be possible in all patients. Inaccurate RA pressure measurement leads to over or underestimation of mPAP.
Tissue Doppler imaging (TDI) is used on the RV free wall in the apical 4-chamber view, and tricuspid annular systolic myocardial (Sm ) velocity is recorded. The maximal Sm velocity and the Sm VTI are then measured (Fig. 6 ). Sm velocity < 12 cm/s and Sm VTI < 2.5 are highly suggestive of elevated PASP [23] .
|
|
|
Fig. 6. RV tissue Doppler method for assessing pulmonary pressure. |
This method correlates well with TR measured PASP but is yet to be fully validated against the gold standard-invasive right heart catheterisation [23] and [24] . Although the technique helps to identify patients with pulmonary hypertension, it cannot accurately quantify pulmonary artery pressure.
TDI is deployed at the lateral tricuspid annulus with a sweep speed of 100 mm/s. Pulse wave (PW) Doppler with a 6 mm sample window is obtained. Right ventricular isovolemic relaxation time (r IVRT) is measured from the offset of the S′ wave to the onset of the E’ wave (Fig. 7 ). r IVRT of > 75 ms reliably predicts pulmonary hypertension while an r IVRT of < 40 ms has a high negative predictive value for pulmonary hypertension [25] and [26] .
|
|
|
Fig. 7. Right ventricular isovolemic relaxation time measurement. |
Coaxial tricuspid TDI is may not be possible in all patients and incident angle should be no more than 15°. The technique may become unreliable in hypertrophic cardiomyopathy, right bundle branch block and right ventricular dysfunction because the r IVRT is prolonged for other reasons. On the other hand, r IVRT is pseudo-normalised in the presence of elevated RAP and significant TR [27] .
Tei index was introduced in 1990s as a Doppler-derived marker of ventricular function. Vonk et al. showed that combining TR-measured PASP (≥ 35 mmHg) with Tei index (> 36) improves echocardiographic sensitivity for the diagnosis of pulmonary hypertension [28] .
In the apical 4-chamber view, TDI is deployed on the RV free wall and a 3–5 mm pulse wave Doppler is obtained approximately 1 cm from the tricuspid annulus. Isovolemic contraction time (IVCT), isovolemic relaxation time (IVRT), and ejection time (ET) of the RV are then measured (Fig. 8 ). Alternatively, these measures could be obtained from CW Doppler across the RV inflow/TR jet. Tei index is measured by the formula: Tei Index (RV) = IVRT + IVCT/ET.
|
|
|
Fig. 8. Measurement of Tei index. |
The method was studied in small groups of patients and has not yet been validated in larger sample sizes [28] and [29] . Tei index is, however, proven to prognosticate patients with pulmonary hypertension [30] .
An elevated pulmonary vascular resistance (PVR) in a patient with PHT suggests that the primary pathology to be the pulmonary vasculature rather than the left heart. A value of > 3 Wood units measured by gold standard technique-right heart catherisation (RHC) indicates raised PVR [1] . While RHC should be performed for conclusive diagnosis, ratio of Peak TR velocity to VTIRVOT measured by echocardiography could provide a valuable clue in PVR assessment.
A TR trace (CW Doppler) is obtained from several views. If needed, agitated saline is administered intravenously to improve the envelope and the maximal TR velocity is measured. A 1–2 cm PW Doppler is then placed in the RVOT (parasternal short axis view), just within the pulmonary valve. The sample volume is placed so that only the closing click of the pulmonary valve is visualised, and the VTI of the RVOT (VTIRVOT ) Doppler signal is measured. A ratio of Peak TR velocity to VTIRVOT of ≤ 0.15 is considered normal. Pulmonary vascular resistance (PVR) is measured by the formula: PVR = (Peak TR velocity (m/s)/VTIRVOT (cm)*10) + 0.16 [32] . TTE measurement of PVR is not fully validated to initiate or monitor treatment of PHT [33] . This method should not replace invasive measurement by right heart catherisation.
Table 1 shows the other echo observations that are useful in assessing patients for pulmonary pressure.
| Observation | Inference |
|---|---|
| RVH and dilationRA dilationdecreased deceleration time of early mitral inflow | RV pressure overload |
| Systolic flattening of the IVSD-shaped LV with reduced diastolic and systolic volumes with preserved systolic function | RV pressure overload |
| Coronary sinus dilation | Elevated RA pressure |
| IVC (hepatic vein dilation) with reduced or absent collapse on sniff | Elevated RA pressure |
| Pericardial effusion | Impaired lymphatic drainage, secondary to elevated right ventricular pressure |
| Large TR | RV enlargement and tethering of the leaflets towards the apex. |
| Raised RV myocardial performance index (Tei index) | RV dysfunction |
Bourlag et al. and Nagel et al. showed that pulmonary artery pressure rises significantly during exercise in patients with latent PHT compared to healthy subjects [34] and [35] . This increase occurs early during loaded exercise making it amenable to measurement. TR Vmax measured PASP of > 45 mmHg or a rise of > 20 mmHg during low-intensity exercise (while not exceeding a cardiac output of 10 l/min) is diagnostic for latent PHT with moderate sensitivity and specificity [35] and [36] . However, this cut-off should not be applied to athletes and the elderly who may reach a PASP of 55-60 mmHg on exercise [3] .
Talreja et al. demonstrated that elevated mitral E/E′ during exercise as another non-invasive measure of elevated left atrial and thereby pulmonary capillary wedge pressure (PCWP) [37] . An E/E′ value of > 15 during exercise predicted an elevated catheter-measured PCWP. Ha et al. also showed that exercise mitral E/E′ is a reliable measure in predicting indolent PHT due to left heart disease in patients with normal resting pulmonary pressure [38] . Other methods are not validated for the evaluation of pulmonary pressure during exercise.
Echocardiography can be used to diagnose pulmonary hypertension with good accuracy. With recent advances in the field, it is of paramount importance that the cardiologist is aware of the nuances in the echo measurement of pulmonary artery pressure. In future, a scoring system combining various echo-derived measurements of PAP in conjunction with exercise testing, might more accurately identify and assess progress of PHT in patients, and reduce the need for invasive assessments.
The authors certify that they have no affiliations with or involvement in any organisation or entity with any financial interest in the subject matter or materials discussed in this manuscript.
Published on 19/07/16
Licence: CC BY-NC-SA license
Are you one of the authors of this document?