A fracture of the stem in a total hip arthroplasty (THA) is an uncommon complication. We report a case of femoral stem fracture in a 55-year-old male patient after a lightning strike. A revision was conducted using a Wagner osteotomy and a revision prosthesis. Dall-Milles cerclages were used to close the osteotomy. The postoperative evolution was satisfactory, with an immediate partial weight bearing, consolidation of the osteotomy after three months and return to daily activity without pain.
Revision ; Femoral neck ; Fracture ; Crevice ; Corrosion ; Lightning-strike
A femoral stem fracture in total hip arthroplasty (THA) is a rare complication but it has been reported by many authors.1 ; 2 ; 3 ; 4 According to the Swedish Hip Arthroplasty Register and the National Joint Registry for England, Wales and Northern Ireland (NJR) the estimated prevalence is about 1–2% of revision procedures.5 ; 6 Given the absolute number and analysing the National Joint Registry (NJR) we can observe an increase in the number of cases during recent years (from 89 cases in 2010 to 158 cases in 2013),6 probably because a rising number of revision procedures. The treatment of this complication is challenging due to the difficulty of extracting the distal fragment and the subsequent stabilisation of the revision prosthesis.
We present a rare case of femoral component fracture in THA in a young obese patient after a lightning strike. To our knowledge there are no cases reported in the literature about this kind of complication after a lightning strike. The patient was informed that data concerning the case would be registered and submitted for publication, and provided consent.
The patient is a fifty-five year old male who underwent left primary THA for osteoarthritis thirteen years ago. The surgery was done at an in another institution where a posterior approach was used. The components implanted were a Bicontact® (Aesculap, B-Braun GmbH, Melsungen, Germany) uncemented stem and an acetabular component (metal on polyethylene) attached with three screws.
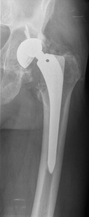
In September 2011 (ten years after primary THA), the patient came to our clinic complaining of hip pain. An important cup asymmetry that indicated wearing of the polyethylene was observed in the radiographic study (Fig. 1 ). The patient was 185 cm tall and weighed 110 kg (body mass index [BMI], 32.14 kg/m2 ). The patient underwent revision of the acetabular component and an exchange of the polyethylene component. Significant metallosis and loosening of the acetabular component was observed. The selected components for the revision were a 58 mm Trilogy® (Zimmer, Winterthur, Switzerland) acetabular shell attached with three (20, 30 and 35 mm) screws with a Trilogy® 58/36 cup. The Bicontact® stem was stable, thus no femoral stem revision was performed. This stem system was an uncemented titanium coated stem with a metaphyseal support. A correct fixation without any sign of collapse and anteversion were evaluated previously to the decision of maintaining the component. A Bioball® (Merete Medical, Berlín, Germany) with a 4XL neck was required to maintain the correct stability of the prosthesis due to laxity with pivoting and external rotation. The Bioball® system consists of different modular neck adapters which allow the surgeon to correct the length and offset of the neck when required. There are eight different sizes between “S” and “5XL” in ascending order, depending on the gap to correct. This implant could be useful specially in those revisions of either stem or acetabular component. Regarding to the case, the most probable cause of this laxity is the placement of the revision cup which is in a high, neutral and horizontal position (Fig. 2 ). The patient had a normal and uneventful postoperative period and remained asymptomatic for two years. He had a Merlé d’Aubigné Postel of 6.6.6 and a Harris Score of 94/100 at the last control.
|
|
|
Fig. 1. Anteroposterior radiograph showing wearing of the polyethylene. |
|
|
|
Fig. 2. Postoperative radiograph after first revision. A Bioball 4XL was required. |
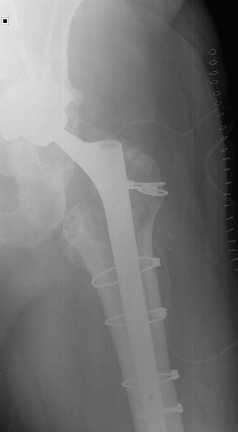
In October 2013 (two years and one month after the revision procedure), the patient was surprised by a storm and was struck by lightning while strolling. He remained conscious and suddenly he was unable to bear weight on the left leg and a deformity on his left lower extremity was detected. His neurovascular status was stable. Plain radiographs demonstrated a displaced fracture through the base of the neck of the femoral component (Fig. 3 ). The patient underwent revision THA through a posterior iterative approach. A transfemoral osteotomy was required to extract the stem, which presented no signs of loosening. Prophylactic Dall-Miles wiring was done to prevent fractures just under the osteotomy. The selected component for the revision was a modular curve Revitan® (Zimmer, Winterthur, Switzerland) system. It was a 200 × 180 mm stem with a distal locking screw of 36 mm and a metaphysis of 75 mm with 15° of anteversion. The head was a #36 metallic. Finally, the osteotomy was fixed with four Dall-Miles cerclages (Fig. 4 ). After the surgery, the patient needed two blood transfusions due to postoperative anaemia. The postoperative course was otherwise unremarkable and the patient was allowed partial two-crutch assisted weight-bearing. The patient was discharged with an active range of motion of 75° of hip flexion and 15° of hip abduction. Three months after surgery, the radiographs demonstrated consolidation of the osteotomy. After one year, the patient is satisfied, without pain and had returned to work.
|
|
|
Fig. 3. Anteroposterior radiograph after the lightning strike. The fracture locates through the base of the neck. |
|
|
|
Fig. 4. Postoperative radiograph after second revision with four Dall-Milles cerclages. |
There are various cases of this kind of complication described in the literature, especially those in which modular components were used. The fracture normally occurs at or near the modular neck-stem interface rather than at the modular head–neck interface. Many factors that increase the risk of fracture including a long femoral neck, a high BMI, the use of skirted femoral neck, the patients activity level, loosening, varus malalignment, and metallurgical and design factors are described in the literature1 ; 2 ; 3 ; 4 ; 7 ; 8 ; 9 ; 10 ; 11 ; 12 ; 13
There were no signs of loosening or malalignment in this patient. With regard to bone quality, there were no signs of decreased bone mass in neither the radiograph or intraoperatively. However, there were several risk factors in our patient that might have been related to the fracture of the femoral component. They include being obese14 ; 15 (BMI 32,14 kg/m2 : obesity class 1), highly demanding physical activity (he had been a shepherd for more than 30 years, walking 9–10 km daily around a mountainous valley) as well as and the length of the femoral neck. The use of a 4XL (the second with greatest lenght) Bioball® (Merete, Berlin, Germany) neck in the revision of the acetabular component two years earlier implied an increase in the cyclic bending loads during activities because of a larger lever arm. These loads predispose the neck to the formation and propagation of microscopic fracture lines on the implant.16 ; 17 In this case, the strike was the event that precipitated the fracture of the neck. Until that time, it had never before been reported as the cause of fracture of the femoral neck stem. To prevent this stem fracture, an assessment of the modifiable risk factors is recommended. This is especially true in these patients with no modifiable risk factors in their environment. During the revision surgery, a macroscopic exam of the components was done. The visual inspection of the taper interface revealed dullness and discolouration of the neck just adjacent to the fracture, which suggested corrosion (Fig. 5 and Fig. 6 ). However, no microscopic and metallurgical analysis of the extracted components was conducted in this case.
|
|
|
Fig. 5. Macroscopic aspect of the fragments of the Bicontact extracted prosthesis. |
|
|
|
Fig. 6. Macroscopic aspect of the fragments of the Bicontact extracted prosthesis. |
Baratz et al related a similar case of a stem fracture in a prosthesis with a long skirted neck and a patient with high BMI. In that case, the fracture was through the skirted head-neck union.4 Kop et al showed that corrosion and fretting happen in modular prostheses at both head-neck and neck-stem unions but more significantly at the neck-stem union because of the major lever arm.18 The light and scanning electron microscopy exams of Wright G. et al showed fretting and corrosion damage concentrated on the lateral and anterior surfaces that consisted of scalloping and pitting of the mating surfaces.19
In conclusion, the patients hip biomechanics and expectations in terms of function after a THA, especially in young patients, should be kept in mind by the orthopaedic surgeons. In young, active patients who are obese, it might be advisable to avoid femoral components with long necks. A skirted head or modular components have been shown to result in both a mechanical disadvantage and decreased resistance to corrosion, both of which may increase the propensity toward tapered femoral neck failure. If a modular prosthesis is needed in these patients, a strict follow-up and adequate patient counselling to prevent femoral component failure is recommended. If there is any patient with a very high risk of fracture, the surgeon should evaluate seriously the possibility of revision of the stem component previous to the fracture.
Published on 31/03/17
Licence: Other
Are you one of the authors of this document?