Resumo

A família dos tumores de Ewing compreende um espectro de doenças malignas de células embrionárias neuroectodérmicas primitivas, que migram da crista neural. O sarcoma de Ewing primário do rim é uma neoplasia rara representando menos de 1% dos tumores renais e é caracterizado por um comportamento biológico altamente agressivo.

Apresentamos o caso de um homem de 53 anos, assintomático, a quem foi diagnosticada uma massa incidental do rim direito através de uma ecografia renal de rotina. O estudo foi complementado com TAC, que confirmou uma lesão sólida com 67 x 65 mm, a ocupar a metade inferior do rim direito com invasão da veia renal, veia cava inferior e aurícula direita. O doente foi submetido a nefrectomia radical direita com exérese do trombo da veia cava inferior e aurícula direita sob circulação extracorpórea com paragem hipotérmica profunda. A histologia das peças operatórias revelou aspetos morfológicos e perfil imunoistoquímico sugestivo de sarcoma de Ewing. Cirurgia e pós‐operatório sem intercorrências. O paciente foi submetido a quimioterapia e faleceu 21 meses após a cirurgia por progressão da doença.

Abstract

The Ewings family of tumours comprises a spectrum of malignancies of primitive neuroectodermal cells: embryonic cells that migrate from the neural crest. 1Primary kidney Ewings sarcoma is a rare neoplastic disease representing less than 1% of renal tumors and is characterized by highly aggressive biological behavior.

We reported a case of an asymptomatic, 53 year old man with an incidental lesion in the right kidney found in a routine renal ultrasound. Computed tomography showed a solid nodule with 67 x 65 mm, occupying the lower pole of the right kidney with renal vein, inferior vena cava and right auricular invasion. The patient underwent a right radical nephrectomy and Inferior vena cava and atrial tumor thrombectomy with cardiopulmonary bypass and deep hypothermic circulatory arrest. Pathologic characteristics and immunohistochemical analysis confirmed the diagnosis of Ewings Sarcoma. Surgery and early post‐operative were free of complications. The patient underwent chemotherapy and died 21 months after the surgery of relapse of the disease.

Palavras‐chave

Sarcoma de Ewing; Tumor neuroectodérmico primitivo; Tumores renais

Keywords

Ewings Sarcoma; Primitive neuroectodermal tumor; Kidney neoplasms

Introdução

A família de tumores de Ewing compreende um espectro de neoplasias de células neuroectodérmicas primitivas, as quais são células embrionárias que migram da crista neural1. Os tumores pertencentes a esta família têm localização preferencial no osso, podendo atingir os tecidos moles das extremidades e mais raramente os órgãos viscerais2. O primeiro caso descrito deste tipo de tumores foi em 1918 por Arthur Stout e envolvia o nervo cubital3 and 4.

O sarcoma de Ewing (SE) e o tumor neuroectodérmico primitivo (PNET) foram inicialmente descritos como 2 entidades distintas. Atualmente, são considerados como tendo uma origem comum, baseada no facto de ambos terem a translocação cromossómica (11;22)(q24;12) em mais de 85% dos casos5.

Os SE de origem renal são uma entidade rara na população adulta e apresentam uma evolução agressiva2.

Apresentamos um caso de um SE primário do rim com trombo extenso na veia cava e aurícula direita, associado a uma breve revisão da literatura disponível.

Caso clínico

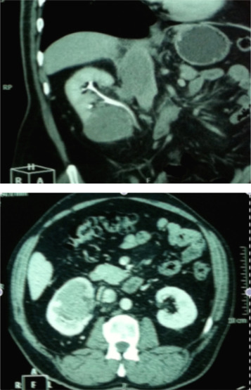
Paciente de 53 anos de idade, sexo masculino, não fumador, foi encaminhado para a consulta de urologia por uma lesão incidental do rim direito, diagnosticado em ecografia renal de rotina. Assintomático e sem antecedentes relevantes. A tomografia computorizada abdominal (fig. 1) mostrou uma lesão sólida com 67 x 65 mm na metade inferior do rim direito com invasão do seio, veia renal, veia cava inferior (VCI) e aurícula direita, e cuja angiorressonância magnética confirmou o diagnóstico. O ecocardiograma transtorácico mostrava uma massa ecodensa, heterogénea, imóvel na aurícula direita, emergindo da VCI compatível com o trombo.


TC abdominal mostrando lesão sólida com 67x65mm, na metade inferior do rim ...


Figura 1.

TC abdominal mostrando lesão sólida com 67 x 65 mm, na metade inferior do rim direito com invasão do seio, veia renal e veia cava inferior (VCI).

O doente foi submetido a nefrectomia radical direita por via aberta, com exérese do trombo da VCI e aurícula sob circulação extracorpórea com paragem hipotérmica profunda, por uma equipa multidisciplinar – urologista, cirurgião vascular e cirurgião cardiotorácico.

O pós‐operatório decorreu sem complicações

A histologia das peças operatórias (trombo [[[#fig0010|fig. 2]]] e tumor) revelou aspetos morfológicos e perfil imunoistoquímico sugestivo de SE.


Peça de trombo após a cirurgia. Fragmento irregular branco com áreas ...


Figura 2.

Peça de trombo após a cirurgia. Fragmento irregular branco com áreas hemorrágicas e necrosadas.

A peça de nefrectomia radical direita revelou tumor de 9 x 8 x 7 cm no polo inferior do rim invadindo a gordura adjacente à árvore pielocalicial, mas sem invadir a gordura perirrenal.

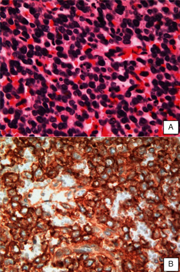
O exame histológico das peças cirúrgicas (fig. 3) mostrou uma população monótona de células de núcleo redondo e basofílico, com cromatina condensada e escasso citoplasma com numerosas áreas de necrose. O perfil de marcadores imunoistoquímica revelou células tumorais positivas para cluster of differentiation 99 (CD99) e enolasa neuronal específica (NSE), e negativas para vimentina, citoqueratina (CK), desmina, AML, CD34 e S100.


Imagem representativa da histologia de SE renal – A. 400x HE ‐ células de núcleo ...


Figura 3.

Imagem representativa da histologia de SE renal – A. 400 x HE ‐ células de núcleo redondo e basofílico, com cromatina condensada e escasso citoplasma. B. 400 x CD99 positivo.

Exames de estadiamento mostraram um nódulo de 5,5 mm no lobo inferior do pulmão esquerdo. A cintigrafia óssea foi negativa para depósitos ósseos secundários.

O paciente foi submetido a 4 ciclos de quimioterapia adjuvante com vincristina, adriamicina e ciclofosfamida, alternado com ifosfamida e ectoposido, com regressão do nódulo pulmonar em TC realizado 7 meses após a cirurgia.

Estável durante 10 meses, uma nova TC mostrou lesões secundárias no mediastino e pulmão compatíveis com progressão da doença. Iniciou quimioterapia de segunda linha com docetaxel e gemcitabina, mas acabou por falecer 4 meses depois.

Discussão

O SE do rim é uma entidade rara e agressiva, com 200 casos publicados na literatura5. Ocorre em menos de 1% dos tumores renais. É um tumor mais frequente em crianças e jovens adultos, sendo o sexo masculino mais afetado com 3:16, 7 and 4. A idade varia entre os 4‐69 anos4. A apresentação clínica é inespecífica e variável, desde ausência de sintomatologia, até casos de hematúria, massa palpável e dor no flanco ou sintomas derivados de metástases à distância.

O primeiro caso descrito de sarcoma de Ewing do rim foi em 1975, por Seemayer et al.7 and 8

A suspeita diagnóstica inicial é de tratar‐se de um tumor do rim, sendo o mais frequente carcinoma de células claras, não havendo diferenças entre eles em exames de imagem. O diagnóstico definitivo é habitualmente feito após a cirurgia, recorrendo a técnicas de imunoistoquímica e moleculares. Macroscopicamente, os PNET são tumores grandes, volumosos e tendem a ser de cor acinzentada, encapsulados, com áreas focais de hemorragia e necrose. Histologicamente, apresentam pequenas células redondas com núcleo e escasso citoplasma. Podem exibir diferentes padrões de «rosetas» e elementos fusiformes5, 9, 10 and 11. O diagnóstico diferencial de tumores do rim com morfologia de pequenas células redondas faz‐se com outras neoplasias não relacionadas, e cujo tratamento e prognósticos são distintos7 and 12. Estão incluídas o linfoma maligno, rabdomiosarcoma embrionário, neuroblastoma renal, tumor de Wilms, osteosarcoma de pequenas células, tumor desmoplástico de pequenas células, sarcoma sinovial e tumor neuroendócrino de pequenas células10 and 11.

Os marcadores CD99, NSE e anticorpos monoclonais podem ajudar para o correto diagnóstico. CD99 é positivo nos tumores da família de SE, mas não pode ser utilizado como marcador absoluto, por não ser específico e positivar nos carcinomas de células pequenas e linfomas. NSE, neurofilamentos S100 e cromogranina‐A podem excluir SE extraósseo6, 11 and 13. O diagnóstico definitivo pode ser confirmado através de análise citogenética pela existência da translocação t(11;22)(q24:q12), que parece ser única a este tipo de tumores, sendo positiva em 85% dos casos12, 13 and 14.

O SE renal tem um comportamento agressivo, com cerca de 30% dos diagnósticos iniciais apresentarem metástases. Os locais mais frequentes de localização secundária são os gânglios, pulmão, fígado e osso13 and 15.

A taxa de sobrevivência livre de doença a 5 anos após cirurgia é de 45‐55% e o prognóstico melhora nos doentes com doente localizada11 and 15. Estudos sugerem que o SE extraósseo pode ser um fator preditor de mau prognóstico, assim como extensão intravascular, idade avançada, metástases no diagnóstico inicial, ressecção incompleta da lesão e má resposta a quimioterapia8 and 13.

O tratamento desta doença baseia‐se na cirurgia radical associada a quimioterapia e radioterapia. O papel da radioterapia não é claro, mas pode ser utilizado na doença localmente avançada e envolvimento da fáscia de Gerota8, 14 and 16.

A quimioterapia adjuvante melhora o prognóstico deste tipo de tumores. Estudos retrospetivos mostram uma boa resposta a quimioterapia, com uma taxa de resposta global de 66% e um benefício clínico de 75%12. No entanto, estes estudos apresentam várias limitações, desde a natureza retrospetiva dos mesmos e do reduzido número de doentes utilizados para calcular as diferentes variáveis, que podem desta forma aumentar o risco de viés. Os pacientes receberam diferentes esquemas de quimioterapia e não houve critérios uniformes na interrupção dos mesmos. Não existe um esquema pré‐definido. Os fármacos mais frequentemente utilizados são a adriamicina, etoposido, dactinomicina, vincristina, ciclofosfamida e ifosfamida6, 7, 17 and 18. As guidelines existentes, nomeadamente da National Comprehensive Cancer Network (NCCN)19, referem‐se a tumores da família de SE de qualquer localização e dividem as diferentes opções de tratamento quimioterápico entre doença localizada e doença metastizada.

Neste caso, o doente realizou 2 linhas de quimioterapia indicadas nas guidelines da NCCN para doença metastizada19.

Na literatura, existem apenas 5 casos de SE primário do rim com trombo estendendo‐se até à aurícula direita (tabela 1).

Tabela 1. Revisão na literatura de sarcoma de Ewing do rim com trombo na aurícula
Autor Ano da publicação Idade/sexo Nefrectomia radical Quimioterapia Metástases Follow‐up Resultado final
Juan et al. 12 2001 17/F Sim sem trombectomia Não Não 5 meses Morto
Thomas et al.17 2002 55/F Sim Adjuvante2 ciclos: ciclofosfamida, ifosfamida e doxorrubicina Não 5 meses Vivo
Hong‐Ru et al.18 2007 17/F Sim Neo‐adjuvante3 ciclos: vincristina, doxorrubicina e ciclofosfamida Não 7 meses Vivo
Ong et al.19 2008 21/F Sim Adjuvante8 ciclos: vincristina, doxorrubicina e ifosfamida Pulmonar 10 meses Vivo
Caso apresentado 2015 53/M Sim Adjuvante4 ciclos vincristina, adriamicina e ciclofosfamida, alternado com ifosfamida e ectoposido e 2 ciclos docetaxel e gencitabina Pulmonar 22 meses Morto

No único caso em que não foi possível realizar a trombectomia, o doente acabou por falecer prematuramente. Os outros 4 casos foram submetidos a cirurgia radical com exérese do trombo associados a quimioterapia adjuvante. Como já foi referido anteriormente, existem várias opções de esquemas de quimioterapia possíveis, dependendo da existência de doença metastática no diagnóstico inicial. Estes casos mostram a grande variabilidade no tratamento, quer seja no número de ciclos ou no esquema terapêutico. Os artigos encontrados têm pouco tempo de seguimento (média de 6,75 meses), o que pode alterar o que se pensa da história natural da doença. No entanto, há uma tendência nos vários artigos revistos em mostrar a agressividade destes tumores e a necessidade de tratamento multimodal.

Em conclusão, trata‐se de um tumor raro, de comportamento agressivo e mau prognóstico, e que deve constar sempre no diagnóstico diferencial de massas renais, sobretudo em jovens adultos. O tratamento deve ser agressivo com cirurgia associada a quimioterapia adjuvante, que podem melhorar a sobrevivência a longo prazo.

Responsabilidades éticas

Proteção dos seres humanos e animais

Os autores declaram que os procedimentos seguidos estavam de acordo com os regulamentos estabelecidos pelos responsáveis da Comissão de Investigação Clínica e Ética e de acordo com os da Associação Médica Mundial e da Declaração de Helsinki.

Confidencialidade dos dados

Os autores declaram ter seguido os protocolos do seu centro de trabalho acerca da publicação dos dados de pacientes.

Direito à privacidade e consentimento escrito

Os autores declaram que não aparecem dados de pacientes neste artigo.

Conflito de interesses

Os autores declaram não haver conflito de interesses.

Referências

  1. 1 R. Pereira, R. Araújo, S. Araújo; Sarcoma de Ewing extraósseo; Arq Bras Ciênc Saúde, 35 (1) (2010), pp. 65–68
  2. 2 A. Fergany, N. Dhar, G. Budd, M. Skacel, J.A. Garcia; Primary extraosseous ewing sarcoma of the kidney with level III inferior vena cava thrombus; Clin Genitourin Cancer., 7 (3) (2009), pp. E95–E97
  3. 3 A.P. Stout; A tumor of the ulnar nerve; Proc NY Pathol Soc., 12 (1918), pp. 2–12
  4. 4 Y. Mor, D. Nass, G. Raviv, Y. Neumann, O. Nativ, B. Goldwasser; Malignant peripheral primitive neuroectodermal tumor (PNET) of the kidney; Med Pediatr Oncol, 23 (1994), pp. 437–440
  5. 5 N. Friedrichs, R. Vorreuther, C. Poremba, K.L. Schafer, A. Böcking, R. Buettner, et al.; Primitive neuroectodermal tumor (PNET) in the differential diagnosis of malignant kidney tumors; Pathol Res Pract., 198 (8) (2002), pp. 563–569
  6. 6 R.G. Rowe, D.G. Thomas, S.M. Schuetze, K.S. Hafez, E.R. Lawlor, R. Chugh; Ewing sarcoma of the kidney: Case series and literature review of an often overlooked entity in the diagnosis of primary renal tumors; Urology., 81 (2013), pp. 347–353
  7. 7 Chuanyu Sun, Zunguo Du, Shijun Tong, Ke Xu, Weihong Ding, Jianliang Sun, et al.; Primitive neuroectodermal tumor of the kidney: Case report and review of the literature; World J Surg Oncol., 10 (2013), p. 279
  8. 8 S. Zollner, U. Dirksen, H. Jurgens, A. Ranft; Renal Ewing tumours; Ann Oncol. (2013)
  9. 9 E. Risi, R. Iacovelli, A. Altavilla, D. Alesini, A. Palazzo, C. Mosillo, et al.; Clinical and pathological features of primary neuroectodermal tumor/Ewing sarcoma of the kidney; Urology., 82 (2013), pp. 382–386
  10. 10 S. Kakkar, D. Gupta, G. Kaur, V. Rana; Primary primitive neuroectodermal tumor of kidney: A rare case report with diagnostic challenge; Indian J Pathol Microbiol., 57 (2014), pp. 298–300
  11. 11 C.J. Juan, C.J. Wu, C.Y. Chen, S.S. Lee, A. Chen, H.C. Fan; Primitive neuroectodermal tumor of the kidney associated with Budd‐Chiari syndrome in a 17‐year‐old girl; J Formos Med Assoc., 100 (9) (2001), pp. 628–630
  12. 12 P. David, A. Godoy, L. Francisco, K.B. Peña, R. Aramis, A.M. Parada; Primary Ewings Sarcoma/Primitive neuroectodermal tumour of the kidney: An infrequent finding; Arch Esp Urol., 60 (2007), pp. 321–325
  13. 13 Erdogan Seyda, C. Ersoz, G. Gonlusen, A. Tuganalp; Primitive neuroectodermal tumor of the kidney: A case report and review of the literature; Aegean Pathol J, 2 (2005), pp. 49–53
  14. 14 Y.B. Thyavihaliy, Tongaonkar Hb, S. Gupta, P.A. Kurkure, P. Amare, M.A. Muckaden, et al.; Primitive neuroectodermal tumor of the kidney: A single institute series of 16 patients; Urology., 71 (2008), pp. 292–295
  15. 15 R. Mukkunda, R. Venkitaraman, K. Thway, T. Min, C. Fisher, A. Horwich, et al.; Primary Adult Renal Ewings Sarcoma: A Rare Entity; Sarcoma., 2009 (2009) Article ID 504654
  16. 16 J.C. Thomas, B.A. Sebek, V. Krishnamurthi; Primitive neuroectodermal tumor of the kidney with inferior vena cava and atrial tumor thrombus; J Urol., 168 (4 pt 1) (2002), pp. 1486–1487
  17. 17 Chen HR, Fryberger S, Lee JD, Wong LL. Successful resection of a PNET tumor of the kidney with vena caval and cardiac invasion. Disponível em: http://www.hcplive.com/journals/surgical‐rounds/2006/2006‐08/2006‐08_05
  18. 18 P. Ong, R. Manikandan, J. Philip, K. Hope, E. Williamson; Primitive neuroectodermal tumour of the kidney with vena caval and atrium tumor thrombus: A case report; J Med Case Rep., 2 (2008), p. 265
  19. 19 National Comprehensive Cancer Netword. NCCN National Clinical Practice Guidelines in Oncology [acessado em 21 de março de 2015]. Disponível em: http://www.nccn.org/professionals/physician_gls/pdf/bone.pdf
Back to Top

Document information

Published on 31/08/16

Licence: Other

Document Score

0

Views 13
Recommendations 0

Share this document

claim authorship

Are you one of the authors of this document?